Legumes, such as pea, chickpea, lupin and soybean, are of fundamental importance for agricultural systems providing sustainable pasture production and cereal rotation capabilities together with high quality products such as vegetable oils, protein and nutriceuticals (antioxidants, phytoestrogens and folate).
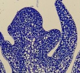
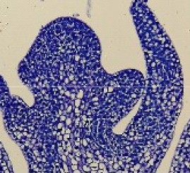
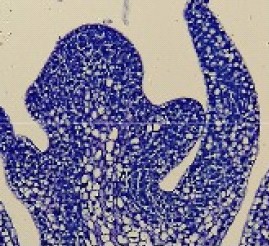
Our main objective is to understand control of shoot apical meristem (SAM) differentiation. Meristem provides a reservoir of undifferentiated stem cells as well as a population of proliferating cells that will produce the various tissues of a plant and hence the general architecture of the plant. This has
implication on the total amount of sunlight intercepted by a plant, which is critical for biomass accumulation. Later in plant development, the reproductive SAM gives rise to flowers that form seeds following fertilization. Having a better understanding of shoot meristem biology in crops therefore offers potential strategies in improving yield to meet the increasing global food demand. Our approach is to use high-resolution transcriptomics to unravel complex gene regulatory mechanisms that control dynamic cell organization and architecture of shoot apical meristem in soybean. We are also interested in regulatory networks controlling meristem transition from the vegetative to the reproductive phase. Accordingly, we are using next generation sequencing technologies to profile gene expression in micro-dissected soybean SAM in a time course experiment following inductive treatment. We are exploring the resulting dataset to identify major changes happening in the leaf or SAM leading to the activation of floral meristem identity genes.
